Publicidad
 
14/08/2025

Ezequiel de la Rosa, el rionegrino que con su equipo puede revolucionar a nivel mundial la detección de los ACV

Desde Zúrich, y tras formarse en cinco países, integra un desarrollo científico que utiliza inteligencia artificial para detectar lesiones cerebral en tiempo récord.

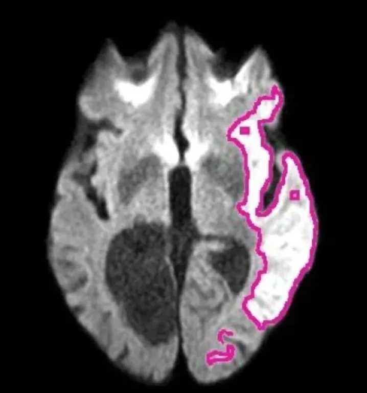
La historia de vida de Ezequiel de la Rosa comenzó en General Roca hace 35 años, y su presente lo encuentra en un momento decisivo de su carrera. Ingeniero Biomédico, formado en la Universidad Nacional de Córdoba (UNCO), actualmente integra un equipo internacional que desarrolló DeepISLES, un algoritmo capaz de identificar lesiones cerebrales en tiempo récord en pacientes con accidentes cerebrovasculares (ACV) isquémicos. El hallazgo fue publicado el 9 de agosto de 2025 en Nature Communications, una de las revistas científicas más prestigiosas del mundo.

Su recorrido académico abarca cinco países, e incluye una maestría en procesamiento de Imágenes Médicas en la Universidad de Girona (España), la Universidad de Borgoña (Francia) y la Universidad de Cassino (Italia); y un doctorado en la Universidad Técnica de Múnich (Alemania). Si bien vive en Bruselas, trabaja como investigador postdoctoral en la Universidad de Zúrich (Suiza), donde lleva adelante este proyecto junto a especialistas de varios países.

DeepISLES se basa en Inteligencia Artificial (IA) y fue validado en el exigente desafío internacional ISLES’22, así como en imágenes de resonancia magnética provenientes de distintos hospitales del mundo. Logró mejoras de hasta +7,4 % en el índice Dice y +12,6 % en el F1-score frente a métodos previos, manteniendo su rendimiento incluso con imágenes, lesiones y pacientes muy diversos.

Uno de los hitos del desarrollo fue un “pseudo Turing test”: expertos en neurorradiología recibieron imágenes con lesiones delineadas automáticamente por DeepISLES y otras hechas manualmente por colegas, sin informarles cuáles eran de cada origen. El resultado sorprendió: los especialistas prefirieron en mayor medida las segmentaciones generadas por el algoritmo que las realizadas por otros expertos humanos.

El sistema, disponible en código abierto, puede integrarse en hospitales y centros de diagnóstico para analizar resonancias de forma casi instantánea, señalando con precisión la zona del cerebro afectada por la falta de irrigación. En la práctica, esto podría acortar drásticamente los tiempos de diagnóstico en guardias y ayudar a estandarizar la calidad de atención en todo el mundo.

¿Que opinión tenés sobre esta nota?